MENU

矢田生活共同組合医療センター
歯科・口腔外科

矢田生活協同組合医療センター 歯科・口腔外科
ホーム > 治療項目-当院のインプラント治療の特徴

IMPLANT

当院のインプラント治療の実際

無菌顎症例

当院では、上下顎とも、無歯顎または無歯顎に近い多数歯欠損症例に対し、ほぼ全ての症例に即時荷重を 行っている。 当院で行った即時荷重の臨床実績は、第36回日本口腔インプラント学会(新潟)で発表した。また、第2報として、第39回日本口腔インプラント学会(大阪)にて発表した。

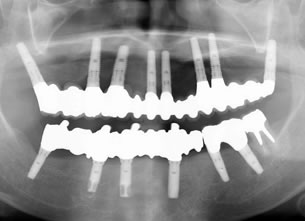
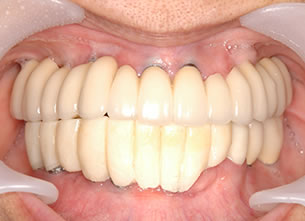
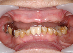
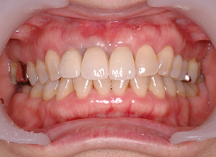
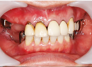
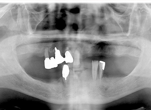
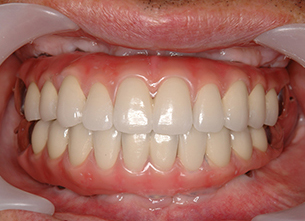
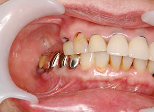
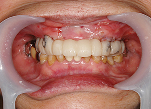
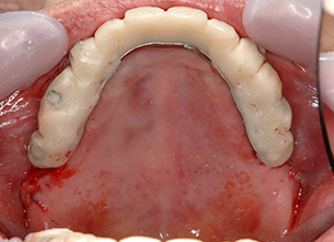
症例1 : 上下顎無菌顎症例

69歳、男性。

  • 上顎は両側サイナスリフトと同時に即時荷重を行った。
  • 下顎は抜歯即時埋入即時荷重を行った。
  • 最終補綴物は、チタンのP.I.B.とM.B.のコンビネーションで修復した。
  • 本症例の要旨は第39回日本口腔インプラント学会(大阪)にて症例報告した。
  • イメージ
  • イメージ
  • イメージ
  • イメージ

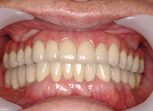
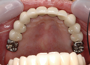
症例2 : 上顎無菌顎症例

78歳、女性。

  • 上顎無歯顎であったが、手術当日に仮歯を装着し(即時荷重)、約6か月後に最終補綴物を装着した。
  • イメージ
  • イメージ
  • イメージ
  • イメージ
  • イメージ
  • イメージ
  • イメージ
  • イメージ
  • イメージ

症例3 : 下顎無菌顎症例

57歳、男性。

  • 左側の大臼歯を抜歯し、即時埋入即時荷重を行った。最終補綴物は、M.B.ブリッジで修復した。
  • イメージ
  • イメージ
  • イメージ
  • イメージ

部分欠損症例

部分欠損症例では、残存歯との調和のとれた修復を目指している。

症例1 : 前歯部欠損症例

20歳、女性。

  • 交通事故にて右側中切歯と歯●骨が欠損。
  • 骨移植を併用し、オールセラミックにて修復。

54歳、女性。

  • 右側中切歯、歯根破折にて抜歯。
  • 抜歯即時埋入し、オールセラミックにて修復。
  • イメージ
  • イメージ

症例2 : 上顎無菌顎・下顎部分欠損症例

59歳、女性。

  • 上顎は高度な骨萎縮を認めたが、骨造成は行わず、即時荷重で対応し、当院オリジナルな補綴物で萎縮;した骨を補い、審美的修復を実現した症例。下顎は、両側大臼歯が欠損しており、2回法で修復。
  • 本症例の要旨は、Nobel Biocare World Tour 2006 Tokyo、第36回日本口腔インプラント学会(新潟)にて発表した。
  • 症例2 : 上顎無菌顎・下顎部分欠損症例
  • 症例2 : 上顎無菌顎・下顎部分欠損症例
  • 症例2 : 上顎無菌顎・下顎部分欠損症例

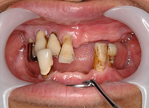
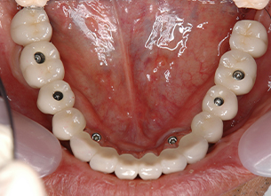
症例3 : 上下顎部分欠損症例

63歳、女性。

  • 上下顎とも2回法で、骨造成は行わずM.B.ブリッジで修復した。
  • 機能的・審美的に満足のいく結果が得られた。
  • 症例3 : 上下顎部分欠損症例
  • 症例3 : 上下顎部分欠損症例
  • 症例3 : 上下顎部分欠損症例
  • 症例3 : 上下顎部分欠損症例

骨造成術

当院では、できるだけ既存骨を利用した低侵襲で確実な治療法を選択しているが、骨を失ってしまった症例や審美的要求の高い症例などでは、 骨造成を必要とする場合がある。

症例1 : 仮骨延長法

66歳、女性。

  • 他院で埋入された下顎前歯部の予後不良インプラントを撤去後、審美的修復を希望されたため、失った骨の回復のため仮骨延長を行った。
  • 約10mm骨延長を行った。
  • 上顎は当院で行った上顎無歯顎の即時荷重。
  • 本症例の要旨は第29回日本口腔インプラント学会 近畿北陸支部総会・学術大会(和歌山)にて発表した。
  • 本症例の要旨は第55回日本口腔外科学会学術大会(千葉)にて発表した。
  • 症例1 : 仮骨延長法
  • 症例1 : 仮骨延長法
  • 症例1 : 仮骨延長法
  • 症例1 : 仮骨延長法
  • 症例1 : 仮骨延長法
  • 症例1 : 仮骨延長法

症例2 : 骨移植

66歳、女性。

  • 重度の骨吸収を認め、下顎枝から、下顎大臼歯部にオンレーグラフトと、上顎小臼歯部にベニアグラフトを行った。
  • 上顎はインプラント埋入も同時に行った。
  • 症例2 : 骨移植

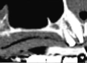
症例3 : サイナスリフト

64歳、女性。

  • 顎臼歯部の骨の少ない症例に、サイナスリフトと同時にインプラント埋入を行った。
  • 当院では、サイナスリフトを必要とするほぼ全ての症例でインプラントの埋入を同時に行っているので、治療期間が約半分ですむ。また、自家骨は使わず、生体材料のみで行うので非常に侵襲が少ないのが特徴である。
  • 症例3 : サイナスリフト
  • 症例3 : サイナスリフト
  • 症例3 : サイナスリフト
  • 症例3 : サイナスリフト
  • 症例3 : サイナスリフト
  • 症例3 : サイナスリフト
ご予約・ご質問等がある方はこちら歯科インプラント治療でお悩みの方、口腔外科のことなら矢田生活協同組合医療センター歯科・口腔外科

topへ